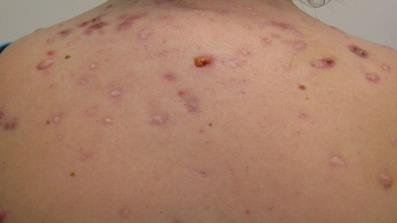
Nusantaratv.com-Penyebaran wabah cacar monyet makin tak terkendali dan meluas. Penyakit yang pertama kali ditemukan di Inggris tersebut kini telah menyebar ke berbagai belahan dunia. Terbaru, Kementerian Kesehatan Singapura melaporkan penemuan kasus cacar monyet pada seorang pelancong yang transit di Bandara Changi pada minggu lalu.
Pelancong tersebut terbang dari Barcelona dan pada 1 Juni 2022 tiba Bandara Changi. Kemudian ia melanjutkan perjalanan menuju Sydney di hari yang sama.
Pada 3 Juni, pelancong tersebut dinyatakan positif mengidap cacar monyet.
"Karena kasusnya tidak masuk ke Singapura atau berinteraksi dengan orang-orang di komunitas, saat ini belum ada risiko penularan komunitas yang signifikan," kata Kementerian Kesehatan Singapura, Senin (6/6/2022).
Sebagai upaya pencegahan penyebaran penyakit, pemerintah Singapura tengah melakukan pelacakan kontak untuk dua penerbangan yang ditumpangi pelancong tersebut.
"Kami melakukan pelacakan kotak untuk dua penerbangan yang terdampak. Mungkin ada yang sudah melakukan kontak dengan pelancong di area transit bandara," ujar pihak Kemenkes Singapura, mengutip detikcom.
Hingga hari ini, belum ditemukan kontak erat dan belum ada kebijakan untuk melakukan karantina. Namun pihak Kemenkes sudah mendapatkan 13 suspek kasus.
"Kami telah mendapatkan 13 orang yang mungkin melakukan kontak dengan pelancong dan melakukan pengawasan via telepon selama 21 hari," jelas pihak Kementerian.
Dijelaskan, 13 suspek kasus akan menerima panggilan telepon tiap harinya, untuk memastikan status kesehatan mereka.
"Jika mereka melaporkan gejala yang menunjukkan infeksi cacar monyet, mereka akan segera mendapat perawatan dan dibawa ke Pusat Nasional untuk Penyakit Menular guna dilakukan evaluasi lebih lanjut," pungkasnya.




Sahabat
Ntvnews
Teknospace
HealthPedia
Jurnalmu
Kamutau
Okedeh