Nusantaratv.com - Seorang wanita asal Polandia yang identitasnya tak disebutkan memiliki hobi makan yang aneh. Dia gemar menyantap kabel charge yang biasa dipakai untuk menambah daya pada handphone atau benda elektronik lain.
Gangguan makan ini dikenal juga dengan nama Pica. Kondisi ini membuat pasien berkeinginan untuk memakan benda-benda kecil, yang tajam. Termasuk benda-benda yang tak memiliki kandungan nutrisi, seperti batu kerikil, pasir, cat, hingga debu.
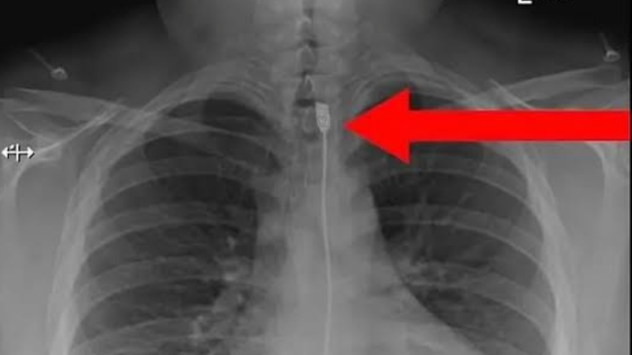
Di dalam kasus wanita ini, ia ternyata menelan kabel charger yang panjangnya hampir satu meter. Tentunya kabel charger itu tidak bisa dicerna oleh tubuh dan membuatnya kesakitan.
Karena kondisinya tak kunjung membaik, wanita ini langsung dilarikan ke rumah sakit. Bahkan dia harus menjalani operasi, karena kabelnya tersangkut di kerongkongannya.
Laporan medis ini kemudian dipublikasikan lewat grup Facebook 'Ready to Rescue'.
"Ini adalah kasus terbaru, dari seorang wanita yang menelan kabel charger iPhone sepanjang satu meter. Wanita ini kemudian menghubungi Rescue Team, setelah dia kesulitan bernafas, karena bagian atas kerongkongannya ditutupi kabel charger," jelas tim Ready To Rescure.
Mereka juga mengunggah foto hasil x-ray pasien, yang memperlihatkan gulungan kabel charger di tenggorokannya.
"Untungnya kabel itu berhasil dikeluarkan, dan kini pasien tengah dalam masa pemulihan. Sayangnya, dia tidak memberi tahu alasannya mengapa dia menelan kabel charger," pungkas laporan tersebut.
Banyak netizen yang setuju, bahwa wanita ini pasti menderita gangguan makan Pica.
"Saya dulu kerja di rumah sakit jiwa, ada banyak yang kasusnya seperti ini. Mereka suka makan kuku, besi untuk pengait bra, staples, kertas, sampai peralatan lainnya," komen salah satu netizen.
Kasus seperti ini bukan pertama kalinya terjadi. Sebelumnya, ada banyak kasus orang yang kecanduan makan puntung rokok, sabun, debu, sampai batu bata di berbagai negara.




Sahabat
Ntvnews
Teknospace
HealthPedia
Jurnalmu
Kamutau
Okedeh